¿Qué es la periodoncia?
La periodoncia es la rama de la odontología que se encarga de la prevención, el diagnóstico y el tratamiento de las enfermedades de las encías y estructuras que rodean al diente. Las patologías periodontales afectan al 80% de la población adulta siendo la primera causa de pérdida dental.
¿CÓMO ES EL PROCESO?
Te explicamos paso a paso cómo trabajamos en nuestra clínica dental de Algeciras.
Diagnóstico periodontal
Valoración con radiografías y periodontograma con sonda florida.
Tratamiento
Raspados y alisados radiculares para eliminar el sarro subgingival.
Revaluación
Tras 40 días, nueva valoración para determinar el siguiente paso.
Tratamiento quirúrgico
Técnicas mínimamente invasivas para regenerar tejidos si es necesario.
Mantenimiento
Programa de mantenimiento personalizado según la severidad del caso.
Beneficios
Descubre las ventajas de este tratamiento en nuestra clínica dental de Algeciras.
Previene la pérdida de dientes
Diagnóstico temprano con tecnología avanzada
Tratamiento personalizado según cada caso
Técnicas mínimamente invasivas
Mantenimiento continuo para prevenir recidivas
Especialistas en periodoncia avanzada
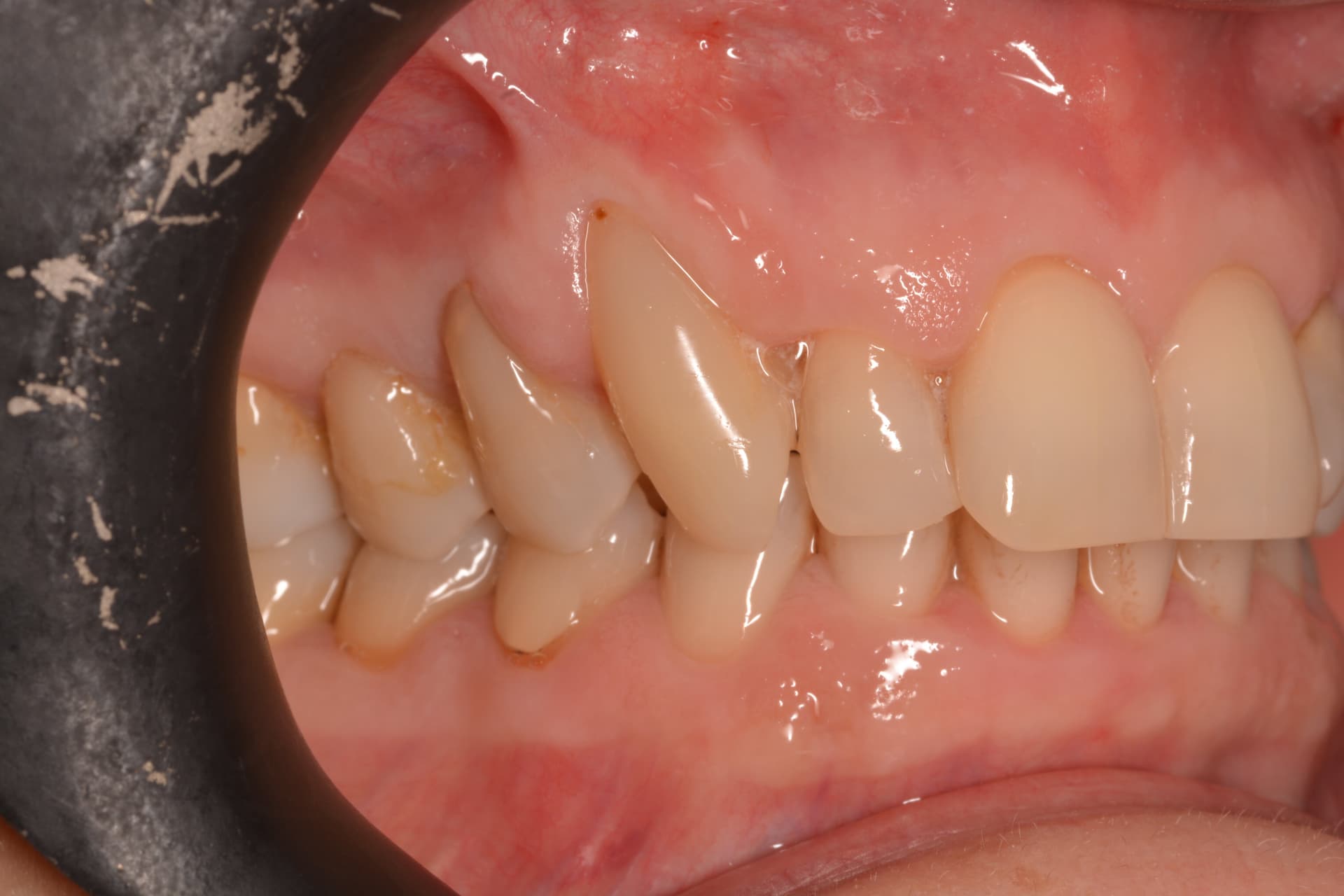
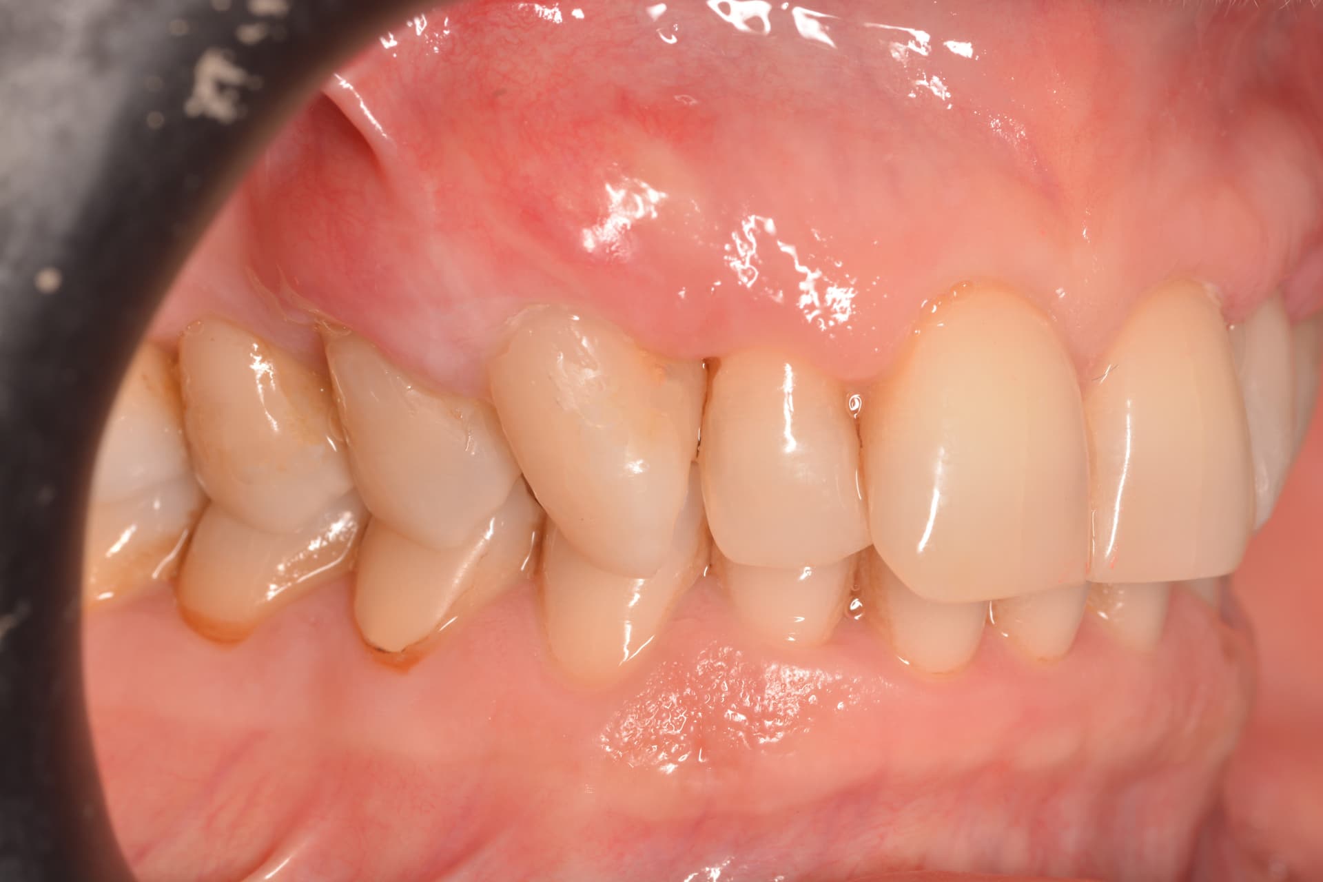
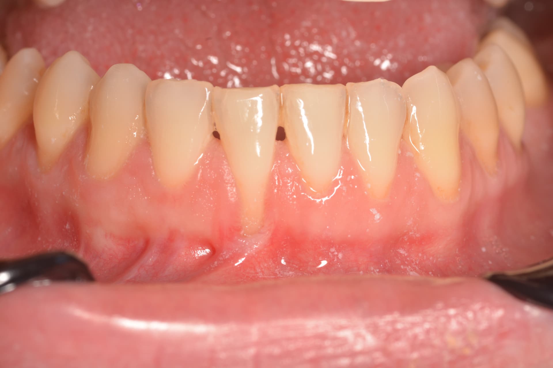
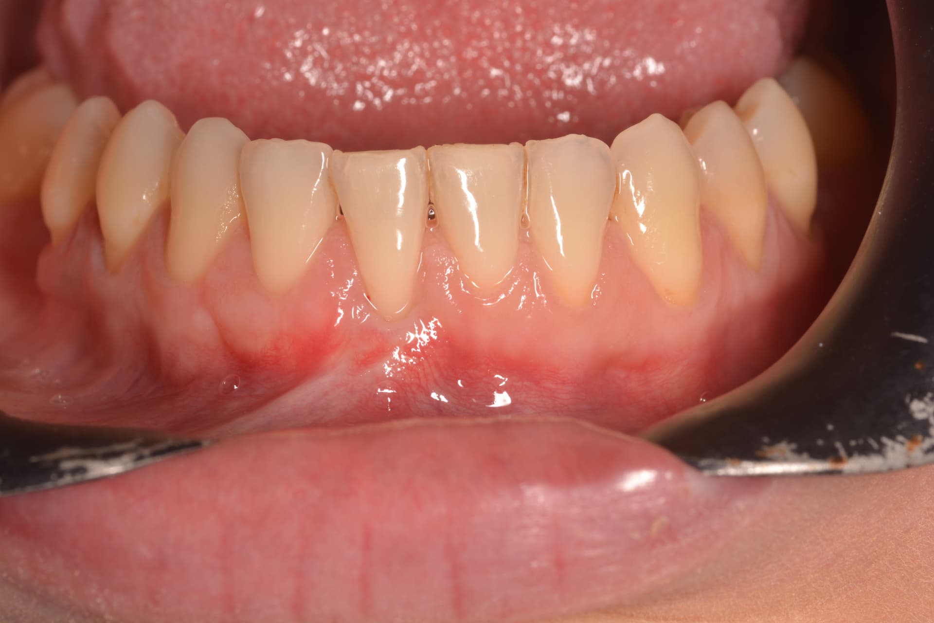
Casos clínicos
Resultados reales de nuestros pacientes


Injerto de tejido conectivo con técnica de túnel para cubrir recesiones radiculares


Tratamiento de recesión radicular en incisivo inferior mediante injerto de tejido conectivo
Solicita tu Consulta Online
Completa el formulario y nos pondremos en contacto contigo para agendar tu primera consulta en nuestra clínica dental de Algeciras.
Primera consulta de valoración
Sin compromiso
Planes de financiación
Opciones de pago flexibles
Urgencias dentales
Atención inmediata
