¿Qué son los implantes dentales?
Los implantes dentales son una solución moderna y eficaz para reemplazar dientes perdidos. Son tornillos de titanio, un material biocompatible, que se colocan en el hueso maxilar, funcionando como raíces artificiales. Sobre ellos se fija una corona o prótesis, que actúa como un diente natural. Nuestros implantes ofrecen resultados estéticos y duraderos, devolviéndote la confianza en tu sonrisa.
¿CÓMO ES EL PROCESO?
Te explicamos paso a paso cómo trabajamos en nuestra clínica dental de Algeciras.
Estudio y planificación
Realizamos un estudio personalizado con CBCT y fotografías y diseñamos un plan de tratamiento individualizado.
Colocación del implante
Procedemos con la cirugía de colocación del implante de forma mínimamente invasiva.
Cicatrización y osteointegración
Periodo que tenemos que esperar (12 semanas) para poder cargar los implantes con las coronas dentales.
Colocación de la corona definitiva
Tras este periodo, se toman unas medidas digitales para fabricar la corona o la prótesis fija que sustituirán a las piezas pérdidas.
Beneficios
Descubre las ventajas de este tratamiento en nuestra clínica dental de Algeciras.
Solución permanente y duradera
Evita la movilidad de los dientes adyacentes y antagonistas
Mejora la masticación y la digestión
Preserva el hueso alveolar
Mejora la estética y función
Evita problemas articulares y de la ATM
¿CUÁNDO COLOCAR UN IMPLANTE?
Pérdida de una o varias piezas dentales
Dificultad para masticar
Uso de prótesis removibles incómodas
Pérdida de hueso maxilar
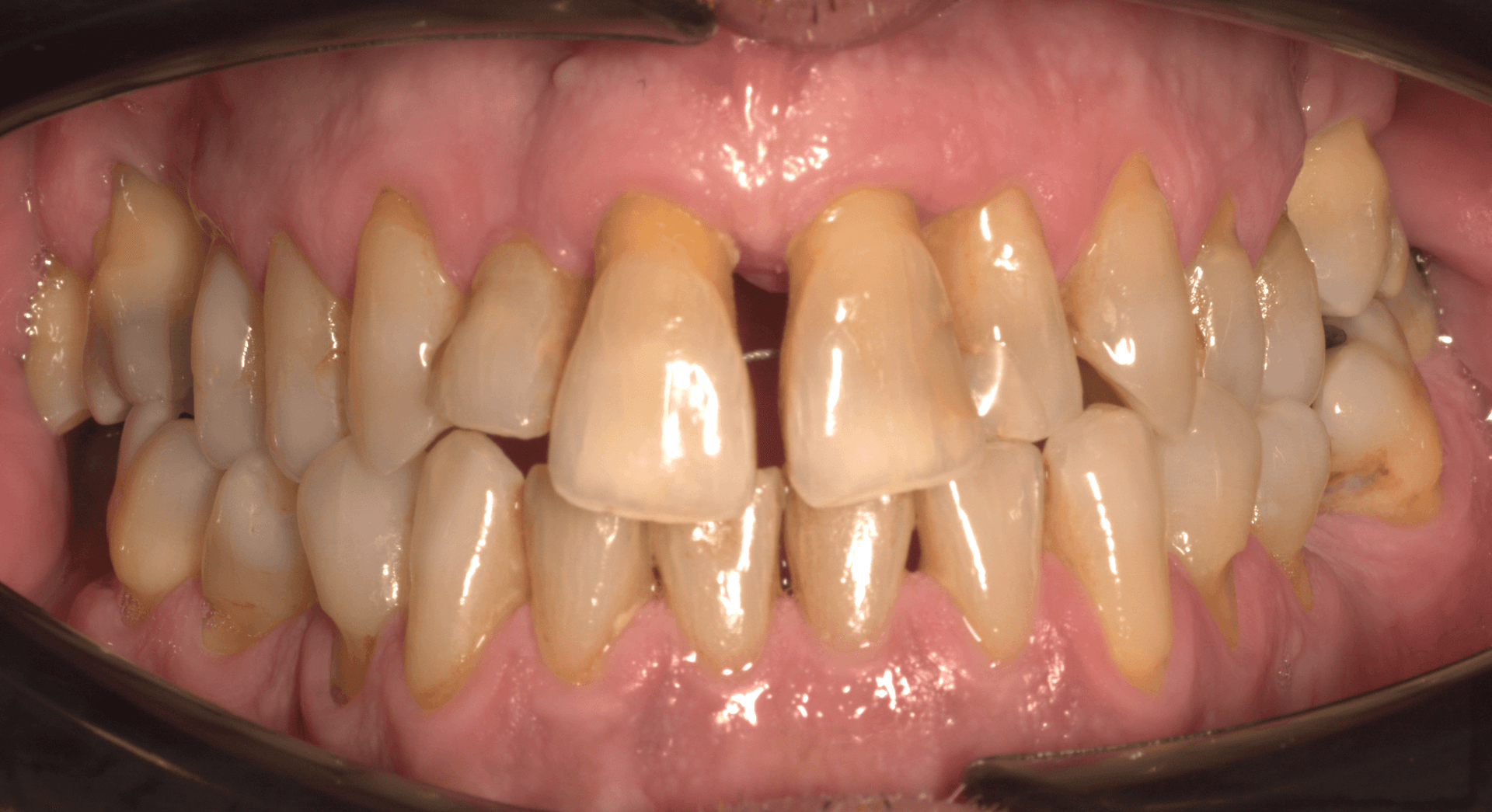
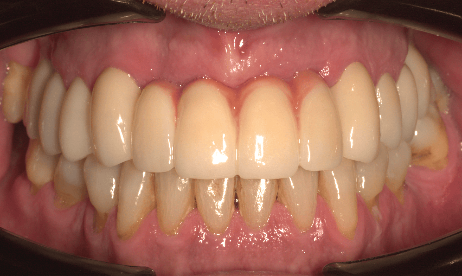
Casos clínicos
Resultados reales de nuestros pacientes


Rehabilitación completa sobre implantes superior e inferior con carga inmediata. Dientes provisionales el mismo día de la cirugía. Tratamiento realizado con 8 implantes en cada arcada.


Rehabilitación completa superior sobre implantes y dientes en paciente periodontal
Solicita tu Consulta Online
Completa el formulario y nos pondremos en contacto contigo para agendar tu primera consulta en nuestra clínica dental de Algeciras.
Primera consulta de valoración
Sin compromiso
Planes de financiación
Opciones de pago flexibles
Urgencias dentales
Atención inmediata
